
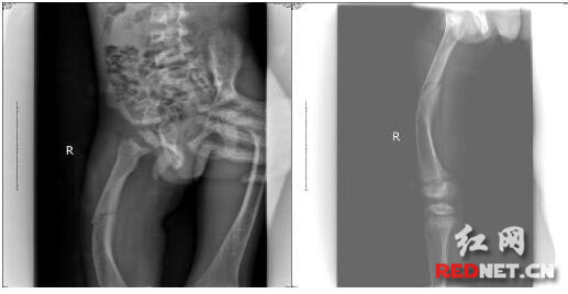
小博强摔伤时X光片

复位后小博强X光片

要出院回家了,小博强和妈妈乐开了怀
红网时刻11月27日讯(通讯员 周红)11月24日,娄底市骨伤医院髋股膝胫科十四病房充满了欢声笑语,9岁的股骨先天畸形骨折患儿博强经过我院精心治疗、优质护理后恢复良好,想到马上就可以出院回家了,一家人乐开了怀。
9岁的小博强不慎于10月16日在学校一下坡处滑倒,右大腿无法动弹并伴有持续性疼痛,让他止不住哇哇大哭,老师紧急将其送往娄底市骨伤医院。入院后,完善相关检查,诊断为“右股骨骨折”,遂收住髋股膝胫科。“怎么的了啊,我的崽啊,怎么摔的那么严重啦…”患儿的妈妈哭着赶到医院。据悉,患儿家境贫苦,因其母腿部患有先天畸形,家中四姊妹有三个大腿是先天畸形。了解到小博强家庭困难,医院决定为其开辟绿色通道,因有先天畸形,院领导召集专家会诊并制定合理的治疗方案,旨在竭力为其提供高超的技术和优质的服务。在欠费的情况下,医院采取了传统中医手法复位+小夹板固定治疗,手法复位后骨折端对位对线解剖复位,免除了手术治疗带来的痛苦,避免了手术治疗的高费用及愈后再次手术带来的损伤。考虑到患儿年龄小、好动,且患儿骨折断端在股骨畸形的应力处,随时有移位的可能,科室采用皮牵引配合小夹板治疗。为促进患儿骨痂生长,医院坚持给予中药和物理治疗。闲暇之余,髋股膝胫科的护士姐妹们不忘到病房和小博强聊聊天,将自己好吃的东西分享给他,让小博强在医院的每一天都忘记病痛过的开心。
11月17日,经复查X光片,小博强骨折端已有丰富的骨痂生长,患肢功能良好,骨折愈合坚固。为防止小博强在家将小夹板移位造成再次损害,医院给予石膏外固定。出院时,小博强的妈妈激动地说“骨伤医院真是我崽的再生父母,在我们欠那么多钱的情况下,坚持给予治疗,果真是医者仁心,往后我将教导博强努力学习,回报社会”。
据卞志超医生介绍,儿童处于生长发育期,骨质柔嫩、骨膜厚韧,无论从高处跌下还是重物压砸,都易发生骨折。因儿童成骨能力强、骨折愈合快、具有较强的塑形能力,可以采用创伤小的传统手法复位。但手法复位,需以合理的固定为治疗的中心环节。皮牵引结合小夹板固定,在儿童股骨骨折的治疗中具有愈合优良、住院时间短、疼痛消失快、固定牢靠、制作简便、便于护理观察等优势。(编辑/李梅花)
来源:红网娄底站
作者:周红
编辑:谭卫丰
本文为娄底站原创文章,转载请附上原文出处链接和本声明。